
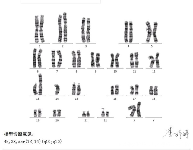
女染色体如图卵巢等功能均正常男健康请问三代试
3位回答
2021-02-04 10:17:53
女 染色体如图,卵巢等功能均正常
男 健康
请问三代试管成功率,和一次与两次的费用大概是?


求助医生
更多
- 问
这种必须做手术么还是取了胚胎不是非要做
这个手术不是非得要马上做,需要根据你的年龄、生育计划等来综合评估并权衡利弊后再决定是否需要手术以及什么时候做。如果是做试管通常为了避免输卵管积液及炎症因子逆流至宫腔影响胚胎着床等,会行输卵管结扎等手术,这个手术通常在移植前完成
段雅贞
8位已回答
- 问
请问医生打4000单位hcg隔天会有多少虚值

你好,hcg在体内半衰期是24-36小时,如果是肌注后当天监测可能会虚高约200-400iu/L,隔天不同时间段值是不同的,如果你是监测怀孕,建议一周后监测,祝好孕。
卢艳芳
2位已回答
- 问
请问医生移植D3冻胚第八天血值110第11天

Hcg值确实不是很高,但是胚胎发育也有个体差异,可以继续随访。衷心建议亲尽人事顺其自然,越紧张反而不利于妊娠,祝您好孕
王英
2位已回答
- 问
医生麻烦您们帮我看一下我这是3天冻胚解冻后融

根据你描述的情况,一般最早能在移植后9-10天抽血测出HCG阳性,目前检查结果考虑发育正常,建议放松紧张的情绪,耐心等待1周后复查
张亚芹
3位已回答
- 问
你好想问下医生移植冻胚5天了小肚子有点瘾瘾痛

从你描述的情况来看,目前移植冻胚五天,轻微下腹部不适考虑正常,不必紧张,放松紧张的情绪,适当休息再观察几天吧
张亚芹
11位已回答
- 问
您好医生我现在降调准备月底移植但是来月经了有

你好,可以服用止痛片,服用药物后多喝水,对月底移植没有影响的
陈静
6位已回答























