
月经第四天查窦卵泡数请看看图是否正常左侧只有
7位回答
2021-04-30 11:45:13
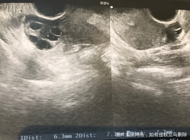
月经第四天查窦卵泡数,请看看图是否正常?左侧只有1个,右侧5个正常吗?监测排卵半年只有右侧排卵,左侧子宫和卵巢间有粘连,左侧卵巢什么问题导致不排卵?另外说我窦卵泡数比前几个月多了,这是好还是不好?


求助医生
更多
- 问怀孕2个月,还没有胎心,流褐色分泌物,还有保胎  月经周期正常吗 ?如果月经周期正常,停经45天左右就可以看到胎芽及胎心,建议顺其自然,不要盲目保胎 。 陈静 10位已回答 
- 问医生我昨天刚做了人工受精,今天小腹有点不舒服,  精子一般在体内存活3天,你昨天做的人工受精,今天排卵的话应该会怀孕🤰的。不能过于紧张,放松心情。 卢艳芳 7位已回答 
- 问移植后第十一天血值太低了,有必要保胎吗?有没有  动态观测血值,是否保胎,看血值翻倍情况。 张彩艳 8位已回答 
- 问我老公无精,我需要如何做试管或者买精,去哪里做  就诊有供精医院的生殖科。1、男方须进行男性科、优生科检查,证明不能或不宜生育,需要供精。2、女方须经妇科医生全面系统的询问和系统体检,确认身体健康、生育正常、输卵管通畅,并排除可能影响未来妊娠的各种因素。 王红 3位已回答 
- 问做完输卵管造影第六天了小腹还是感觉沉甸甸的如  可以热敷腹部,如果有发热,腹痛加剧,白带量多,有异味,随时就医 刘翠荣 5位已回答 
- 问什么情况下要打破卵针还要抽血吗在当地有没有破  打排卵针是在口服排卵要和改变生活方式,没有效果,仍然不排卵的情况下用。抽血化验是必要的,需要查体,甲功有无异常,性激素六项正常,促排卵才有效,排卵后孕酮才会升高。当地医院是否有排卵针,需要咨询一下医院药房或者妇科、生殖科等 张红 5位已回答 






















